resized.avif)
Before & Afters
Before & Afters
Real Patients. Real Results.
See the Smiles We’ve Helped Transform
See the Smiles We’ve Helped Transform
There’s nothing more rewarding than helping our patients feel confident in their smiles. Whether it’s replacing missing teeth with dental implants, refining alignment with Invisalign®, or refreshing your look with custom veneers, our team is here to make your goals a reality. Every photo you see here represents someone who trusted us with their care—and left smiling brighter than ever.
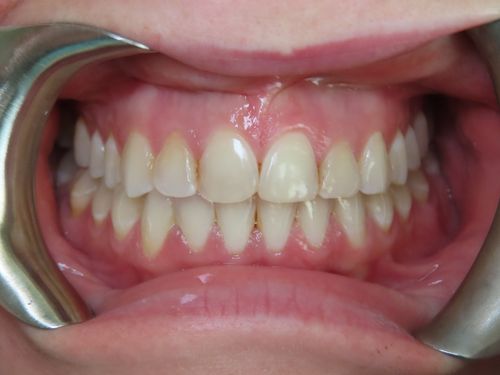
Anterior Bonding
before

after

Anterior Crowns
before

after

Dental Bonding
before

after

Dental Bonding
before

after

Dental Bridge
before

after

Dental Crown
before

after

Dental Crown
before
%201.jpg)
after

Dental Implant
before

after

Dental Implant
before

after

Two Dental Bridges
before

after

